大人の矯正治療
「矯正は子どものうちにするもの」
と思っていませんか?
最近では、大人になってから矯正治療を始める方も増えています。
見た目の印象が整うだけでなく、噛み合わせや発音、口腔内の衛生管理がしやすくなるなど、成人矯正にはさまざまなメリットがあります。
また、目立ちにくい装置や、取り外し可能な装置など、ライフスタイルに合わせた治療方法もご提案が可能です。
「今からでも間に合うかな?」「なるべく目立たない方法で治療したい」など、お悩みがありましたら、まずはお気軽にご相談ください。
こんなお悩みはご相談ください
- 歯並びがコンプレックス
- 歯が重なっていて磨きにくい
- 顎に違和感や痛みを感じる
- フェイスラインが気になる
- 歯の当たり方に偏りがある
- 笑顔にもっと自信を持ちたい
矯正治療装置
審美ブラケット
歯の表面に装着する「ブラケット」には、目立ちにくい素材を使用したタイプもあります。セラミック製の審美ブラケットは、自然な透明感があり、装置が目立ちにくいことが特長です。
また、現在のブラケット装置は、設計や素材の進化により、従来に比べてより効率的な歯の移動が可能となってきています。症例によっては、痛みの感じ方が軽減されたり、治療期間が短くなることもあります。
※使用する装置は、歯並びや症例に応じてご提案いたします。
舌側矯正治療(裏側矯正)
舌側矯正は、矯正装置を歯の裏側(舌側)に装着する方法です。
装置が外側から見えにくいため、目立ちにくいと感じられることが多いのが特長です。
「できるだけ目立たずに治療を進めたい」「仕事や接客などで見た目に配慮したい」といったご希望に応じてご提案しています。
【注意点】
- 発音や舌の動きに慣れるまで時間がかかる場合がある
- 歯みがきがやや難しくなる傾向がある
- 症例により一部の歯に表側の装置を併用することがある
マウスピース型矯正装置
(インビザラインなど)
マウスピース型矯正は、透明な取り外し式の装置を使用して歯を少しずつ動かす治療法です。装置が薄くて透明なため、装着していても目立ちにくいのが特長です。
食事や歯みがきの際には取り外すことができ、普段の生活への影響を極力抑えながら治療を進めることが可能です。
【注意点】
- 装置は毎日20時間以上の装着が必要
- 症例によって適応できない場合がある
- 使用方法や装着状況により治療効果に影響が出る可能性がある
料金表
| 治療内容 | 金額(税込) | 治療期間目安 | 治療回数目安 |
|---|---|---|---|
| 審美ブラケット | 770,000円~990,000円 | 2~3年 | 20~40回 |
| 舌側矯正 | 990,000円~1,210,000円 | 2~3年 | 20~40回 |
| マウスピース型矯正 | 990,000円~1,210,000円 | 2~3年 | 10~20回 |
| 保定期間 | 22,000円~110,000円 | 2~3年 | 10~20回 |
※矯正⻭科治療は公的健康保険の対象外の⾃由(⾃費)診療となります。
※症例によっては調整料や追加の費用が発生する場合があります。詳細は初診時にご説明いたします。
治療の症例
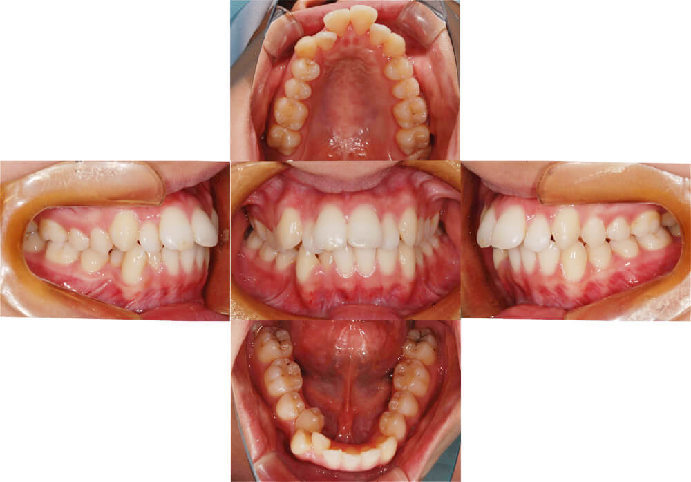
症例1
| 主訴 | 前歯が噛まない |
|---|---|
| 診断名 | 叢生を伴う開咬症例 |
| 年齢 | 25歳 |
| 装置 | マルチブラケット装置 |
| 抜歯部位 | 上下左右第一小臼歯 |
| 治療期間 | 2年半の動的治療期間 |
| 治療費 | 800,000〜1,000,000円 |
| リスク・副作用 | 歯肉退縮、歯根吸収、疼痛、口内炎、歯ブラシが大変、骨性癒着、見た目、抜歯の可能性、毎月来院が必要、治療期間が長い |
症例2
| 主訴 | 前歯が出ている |
|---|---|
| 診断名 | 叢生を伴う上顎前突症例 |
| 年齢 | 20歳 |
| 装置 | 舌側マルチブラケット装置 |
| 抜歯部位 | 上顎左右、下顎右側第一小臼歯 |
| 治療期間 | 2年の動的治療期間 |
| 治療費 | 1,000,000〜1,200,000円 |
| リスク・副作用 | 歯肉退縮、歯根吸収、疼痛、口内炎、歯ブラシが大変、骨性癒着、見た目、抜歯の可能性、毎月来院が必要、治療期間が長い |
症例3
| 主訴 | 歯並びのガタガタ |
|---|---|
| 診断名 | 叢生症例 |
| 年齢 | 13歳 |
| 装置 | マルチブラケット装置 |
| 抜歯部位 | 上顎左右第一小臼歯 |
| 治療期間 | 2年半の動的治療期間 |
| 治療費 | 800,000〜1,000,000円 |
| リスク・副作用 | 歯肉退縮、歯根吸収、疼痛、口内炎、歯ブラシが大変、骨性癒着、見た目、抜歯の可能性、毎月来院が必要、治療期間が長い |
※掲載している症例写真・情報は、すべて患者様の同意を得て掲載しています。
※治療効果や治療期間には個人差があり、すべての方が同様の結果になるとは限りません。
成人矯正における注意点
- 歯周組織(歯ぐきや骨)の健康状態が治療の進行に影響するため、歯周治療を優先することもあります。
- 治療中は、セルフケアや定期的なクリーニングがより重要になります。
- 治療内容によっては、補綴(詰め物や被せ物)の調整が必要となるケースもあります。
成人矯正のご相談について
「見た目を整えたい」
「噛み合わせが気になる」
「目立たない装置で治療したい」
といった矯正に関するお悩みやご希望がある方は、まずはお気軽にご相談ください。
初回カウンセリングでは、専門の矯正歯科医がお口の状態を確認し、お一人ひとりに合った治療方法をご提案いたします。
LINEで相談・予約
フォームからお問い合わせ
